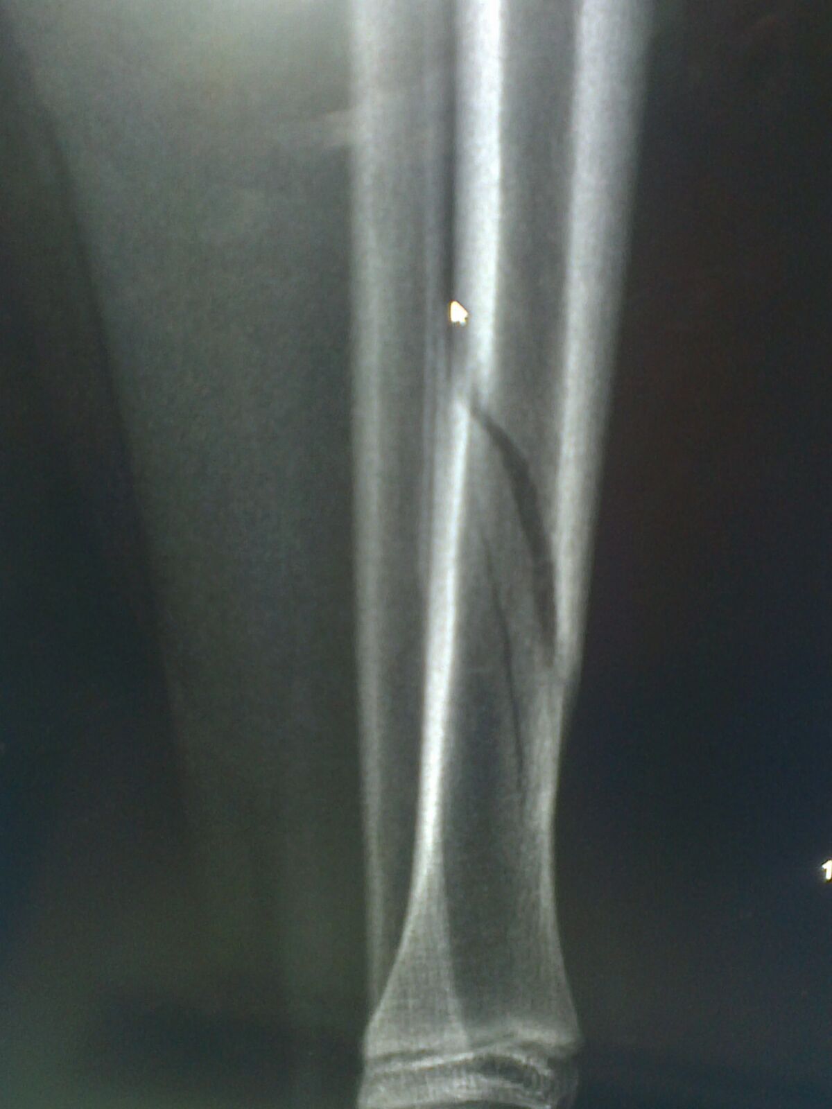
Emilia – Spiralschienenbeinbruch 04.09.2015 um 18:00 5. September 2015 fpuetz — — Von WhatsApp gesendet Uncategorized